澄天生物
咨询热线咨询热线:400-693-5700 邮箱邮箱:jax-orderquest@ibio-life.com
罕见病
罕见病
美国杰克森实验室提供丰富的自发、靶向和转基因突变体小鼠品系资源,其中可用于罕见病建模的达数百种。
jax-orderquest@ibio-life.com400-693-5700 (询价下单/技术咨询)
罕见病小鼠模型
脊髓性肌萎缩症(SMA)
系统命名 通用名称 品系号 研究领域
FVB.Cg-Grm7Tg(SMN2)89Ahmb Smn1tm1Msd Tg(SMN2*delta7)4299Ahmb/J FVB.SMNΔ7;SMN2;Smn- , 中度 II型 SMA , Δ7小鼠初期同源品系 005025 神经生物学,发育生物学,神经肌肉疾病
肌萎缩性侧索硬化 (ALS)
系统命名 通用名称 品系号 研究领域
B6SJL-Tg(SOD1*G93A)1Gur/J SOD1-G93A 002726 神经生物学、肌萎缩侧索硬化症
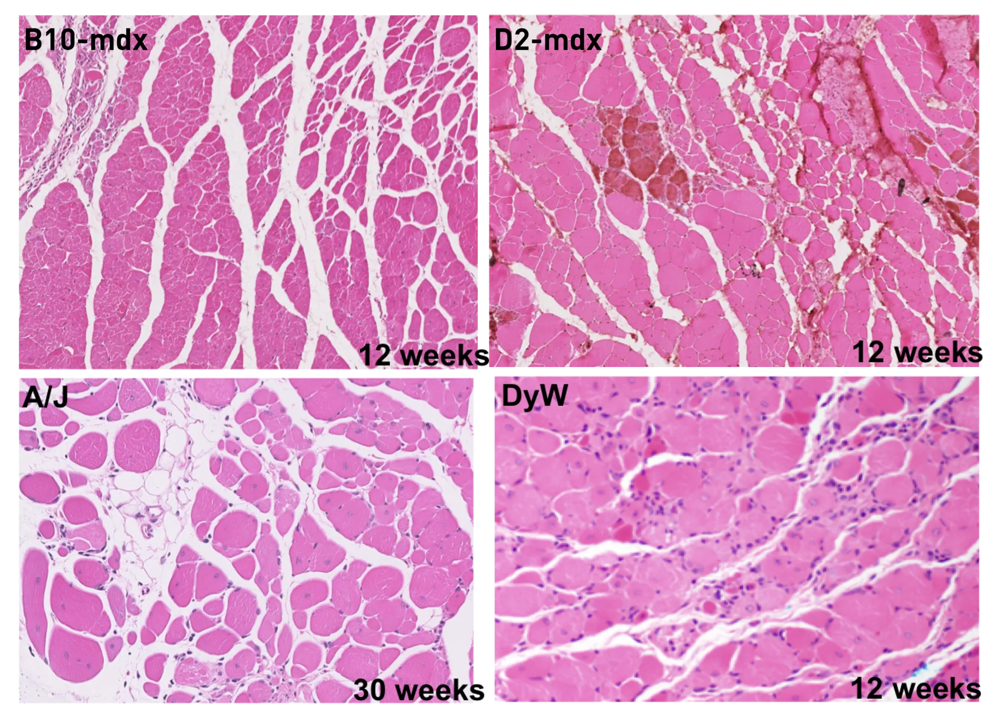
杜氏肌营养不良症(DMD)
系统命名 通用名称 品系号 研究领域
C57BL/10ScSn-Dmdmdx/J mdx 001801 细胞生物学、神经生物学、肌肉营养不良症研究
亨廷顿舞蹈症
系统命名 通用名称 品系号 研究领域
B6CBA-Tg(HDexon1)62Gpb/3J B6CBA-R6/2 (CAG 120 +/- 5) 006494 亨廷顿舞蹈症
FVB-Tg(YAC128)53Hay/J YAC128 004938 亨廷顿舞蹈症
相关消息
小鼠需求
询价下单及技术咨询
请拨打 400-693-5700